हमारा संकल्प उत्तराखंड के संसाधनों, जमीनों, को भू माफियाओं से बचाए रखना है: मुख्यमंत्री
देहरादून: विधानसभा बजट सत्र के दौरान मुख्यमंत्री श्री पुष्कर सिंह धामी ने…
डीएम ने युवाओं को सहकारिता से जुड़ कर योजनाओं का लाभ उठाने का आह्वान किया…
उत्तरकाशी: अंतराष्ट्रीय सहकारिता वर्ष के उपलक्ष्य में जिला स्तर पर आयोजित युवा…
टीएमयू में डॉ. विजय बोले, डिजिटल युग में टेक्नोलॉजी से स्वास्थ्य शिक्षा में बड़े बदलाव
तीर्थंकर महावीर यूनिवर्सिटी के कॉलेज ऑफ नर्सिंग की ओर से विस्तृत क्षितिजः…
लीलाधर जगूड़ी को मिलेगा प्रताप नगर जन-भूषण सम्मान
प्रतापनगर नागरिक सम्मान मंच की द्वारा 22 फरवरी को कस्तूरबा गांधी दिवस…
भू-कानून संशोधन विधेयक को स्वीकृति देकर जनभावनाओं का सम्मान किया-अजेंद्र अजय
प्रदेश सरकार द्वारा भू-कानून को लेकर सुभाष कुमार की अध्यक्षता में गठित…
जनमानस के लिए ISBT में सुगम यातायात/आवागमन व्यवस्था का लोकार्पण इसी सप्ताह: डीएम
देहरादून: डीएम सविन बसंल के निर्देशन के अनुपालन में सड़क सुरक्षा के…
हाउ इज द जोश से टीएमयू डेंटल के ग्रेविटास का शंखनाद…
तीर्थंकर महावीर डेंटल कॉलेज एंड रिसर्च सेंटर की स्पोर्ट्स एंड कल्चरल एक्टिविटी…
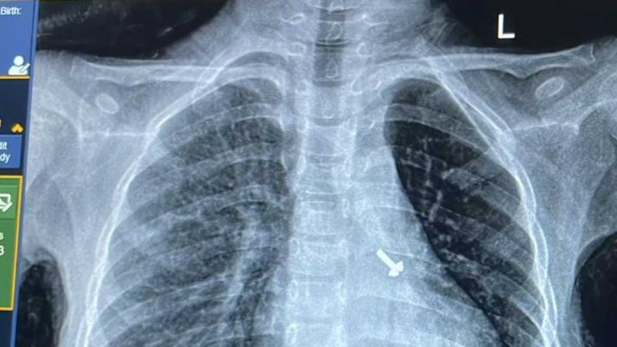
07 वर्ष के बच्चे के फेफड़े में फंसे पेंच को निकालकर एम्स के चिकित्सकों ने दिया जीवनदान
ऋषिकेश: अखिल भारतीय आयुर्विज्ञान संस्थान, ऋषिकेश के पल्मोनरी मेडिसिन विभाग की ओर…
रिटर्न गिफ्टःटीएमयू हॉस्पिटल में चार करोड़ रुपए तक होंगे फ्री में इलाज और ऑपरेशन
ख़ास बातें यह पैसा न तो सरकार, न ही माइनोरिटी विभाग काः…
उत्तरकाशी: समस्त नगर क्षेत्र में राशन कार्डों के सत्यापन के लिए पूर्ति विभाग ने कसी कमर
उत्तरकाशी: भारत सरकार द्वारा दिए जा रहे निशुल्क खाद्यान्न को अपात्र द्वारा…


